إنجاز طبي جديد بجامعة الإسكندرية لإنقاذ مريض فلسطيني مصاب من قطاع غزة
ليلى خليل

إنجاز طبي جديد بجامعة الإسكندرية لإنقاذ مريض فلسطيني مصاب من قطاع غزة
ليلى خليل
في إطار الدور الوطني والإنساني الذي تؤديه جامعة الإسكندرية تنفيذًا لتوجيهات القيادة السياسية ووزارة التعليم العالي والبحث العلمي بتقديم الدعم الطبي للأشقاء من المصابين في قطاع غزة، نجح فريق طبي متخصص بمستشفيات جامعة الإسكندرية في تحقيق إنجاز طبي دقيق ونادر.
وأعرب الدكتور عبد العزيز قنصوة، رئيس جامعة الإسكندرية، عن فخره بهذا النجاح الذي يجسد الكفاءة العالية للفريق الطبي بالمستشفيات الجامعية، مؤكدًا أن الجامعة تولي اهتمامًا بالغًا بدعم القضايا الإنسانية وبتقديم الرعاية الصحية المتكاملة للأشقاء العرب،
تنفيذًا لتوجيهات الدولة المصرية في مساندة المصابين من قطاع غزة وتوفير أفضل سبل العلاج لهم داخل المستشفيات الجامعية، وأشار سيادته إلى أن هذا الإنجاز يعكس المكانة الطبية والعلمية المتميزة لجامعة الإسكندرية، وقدرتها على التعامل مع العمليات المعقدة والحالات الدقيقة وفق أعلى معايير الجودة والرعاية الصحية.
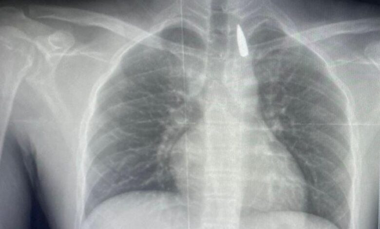
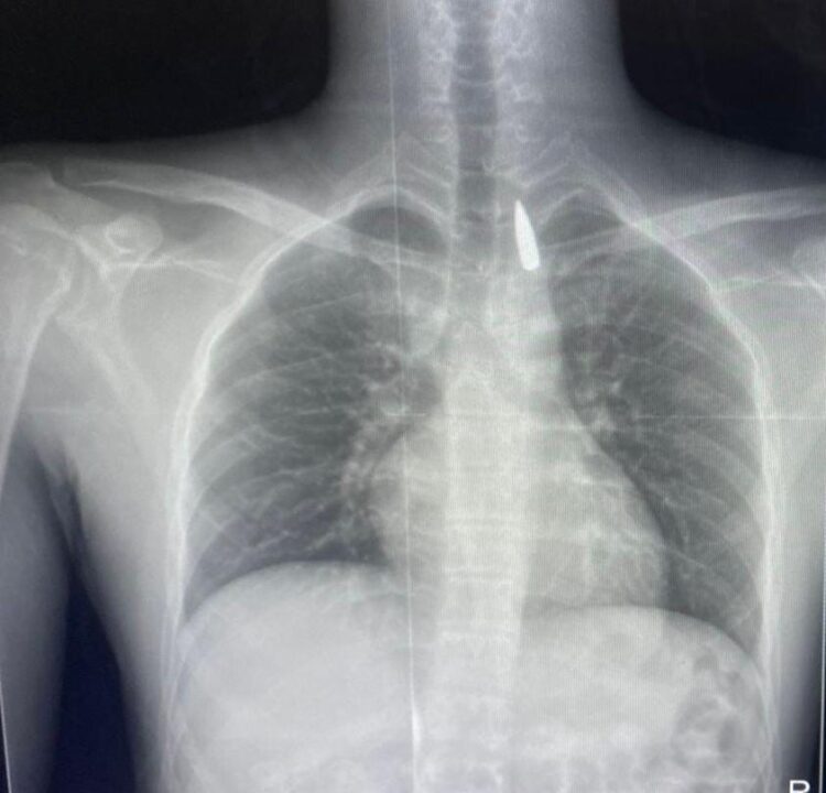
وأوضح الدكتور تامر عبد الله، عميد كلية الطب ورئيس مجلس إدارة المستشفيات الجامعية، أنه في يوم 21 أكتوبر 2025 تمكن فريق من أطباء قسم جراحة القلب والصدر والتخدير والمعاونين من إجراء جراحة دقيقة بالغة الخطورة لأحد المرضى المحجوزين من قطاع غزة،
والذي كان قد تعرض لإصابة بطلق ناري في الرأس منذ فترة، استقر المقذوف على إثرها داخل تجويف القفص الصدري قرب الشريان الأورطي، وهو أكبر وأهم شرايين الجسم والمسؤول عن تغذية جميع الأعضاء الحيوية، وأضاف أن الفريق الطبي، رغم دقة الحالة وتعقيدها، نجح في استخراج المقذوف بأمان بعد عملية جراحية نادرة استمرت عدة ساعات داخل المستشفى الجامعي الجديد،
حيث خضع المريض بعدها للرعاية الطبية اللازمة، وحالته حاليًا مستقرة وتحت المتابعة الدقيقة من الفريق المختص.
وتؤكد جامعة الإسكندرية استمرارها في توفير الدعم الطبي والعلاجي للحالات المحولة إليها، انطلاقًا من دورها الوطني والإنساني ورسالتها في خدمة المجتمع ودعم الأشقاء العرب في مختلف المواقف.
إنجاز طبي جديد بجامعة الإسكندرية لإنقاذ مريض فلسطيني مصاب من قطاع غزة
اكتشاف المزيد من جريدة المساء العربي
اشترك للحصول على أحدث التدوينات المرسلة إلى بريدك الإلكتروني.





